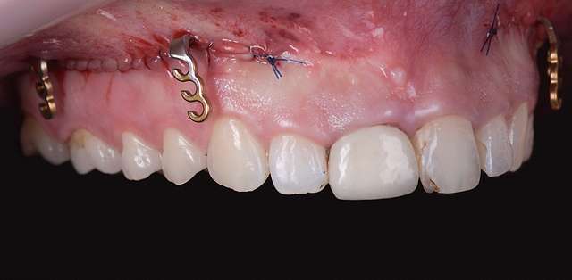
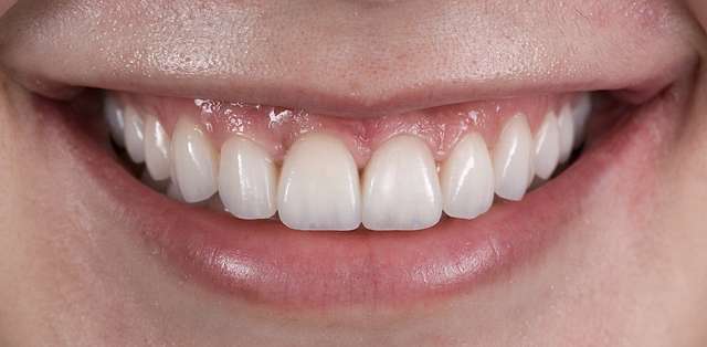
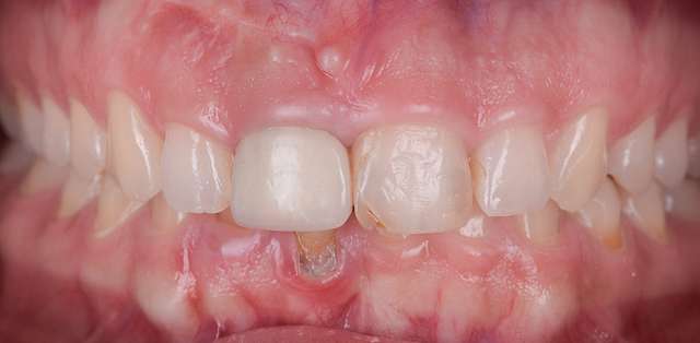
In this case we are dealing with an exaggerated gummy smile and hyper mobile lip, which accentuates even more the problem. Existing teeth are small, and it is impossible to solve this issue with crown lengthening and veneers. To make things even more complicated, one of the two central incisors has an internal root resorption, and should be extracted. We went for an interdisciplinary approach combining orthodontic treatment with prostethic treatment (Veneers) and off course the dental implant and soft tissue reconstruction.
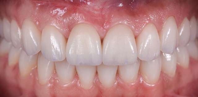
For the orthodontic treatment we used skeletal anchorage (miniplates) which allow us the necessary force to impact the maxilla. Together with the massive intrusion, the auto rotation of the lower will occur, which will improve the case both functionally and facially. We used central to bring all the structures in position during orthodontic treatment, and chose to extract it once we achieved a favorable position for the implant. We finished with ceramic veneers, optimising the shape and size of the teeth. This case is available in detail, and is published in the prestigious journal JERD (Journal of Restorative Dentistry 2022)
