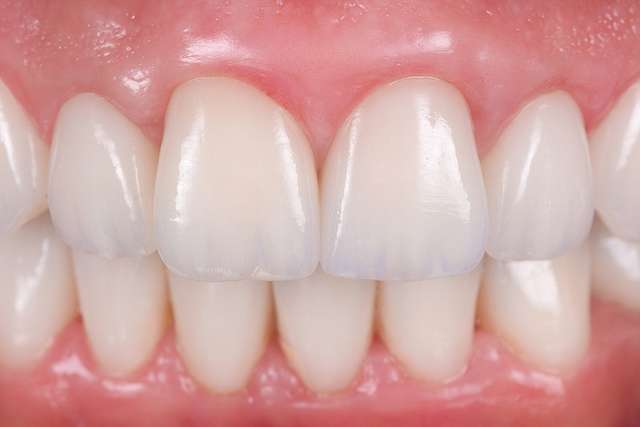
Crowns are a common restorative option for structurally damaged teeth. Crowns may be selectively used when indication calls for them.
They are proven to be long lasting and efficient in both aesthetic and functional scenarios. Crowns are used to restore damaged natural teeth as well as dental implants.
Beautiful, yet invisible
We use restorative biometrics technology to copy natural features of teeth, allowing us to remain anonymous artists and hiding the trails of the dental work. No one will know you have dental crowns, unless you choose to tell em. Restorative biometrics
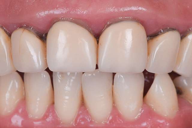
Alive
When it comes to color, we like to infuse our restorations with life and luminosity. We use high value ceramics and a specific workflow aimed to enhance the vibrant life-like colors that we see in young natural dentition.
Metal free
We use exclusively metal-free restorations, allowing for better tissue / color integration. It also allows us to be significantly more conservative with tooth structures during the treatment.
Designed to last
We use your specific motion patterns of chewing, speech and deglutition to design restorations that are more precise and better functionally integrated. This gives you better comfort and longevity.
