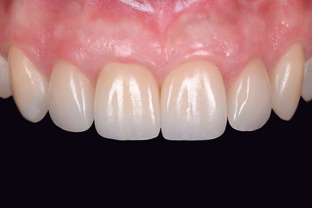
Dental implants are the infra-structure of oral health and esthetics, when teeth are no longer there. In our vision, diagnosis, planning and integration of the implant surgery in the architecture of a treatment plan are just as important, if not more important than the surgery itself. For this reason, before any surgery we plan the final smile and the entire treatment sequence.
This approach drives us to correctly plan the ideal position of the dental implants and the ideal timing in the treatment sequence. This planning can be materialized into surgical guides for complex cases. This way the surgery is precise, predictable and safe.
One-stop shop
Get the job done without extra trips, without being refered around from one place to another. All treatment options available in one place, all possible investigations, planning and diagnostic tools, all under one roof, under one vision.
Digitally planned and guided surgeries
Surgery is first planned and simulated digitally. A surgical guide will be 3D printed for difficult cases, leaving the surgery itself to be merely a rehearsal with focus on details.
Advanced tissue reconstruction
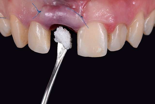
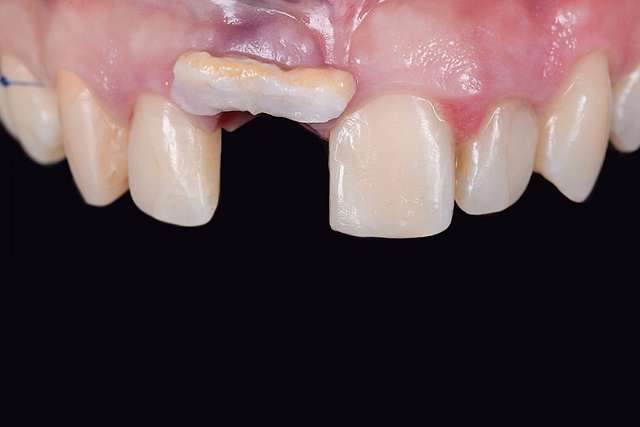
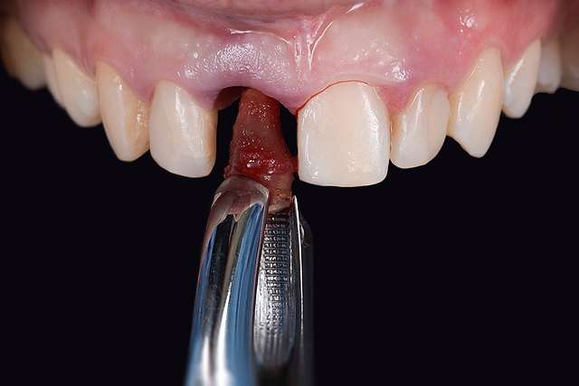
The focus for implant surgery is to restore tissue and bone architecture. This will give long term stability, as well as biological and aesthetic integration.
Frequently asked questions
How do implants work?
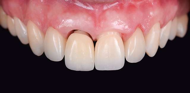
Cases treated with dental implants require 3 stages: Digital Stage - Case is diagnosed and planned. Preparation for surgery. Surgical Stage - Implants are inserted into the bone. Next comes an 8 week healing and integration stage, for implant integration. Prosthetic Stage - Implants are restored, being loaded with the future restorations. Read more here
What are the indications and precautions of dental implants?
Dental implants are indicated when one or more teeth are missing. Precautions are generally related to systemic diseases ( diabetes, osteoporosis etc ) and smoking. More on this topic here.
What if I don't have sufficient bone support for an implant?
During the digital stage, a CBCT ( cone beam computer tomography ) will show the surgeon precisely the amount of bone available. He will be able to measure and plan the correct size of implant, or prepare for grafting procedures.
I know I need implant therapy, but I'm not sure I can afford it. What are my alternatives?
Costs for implant therapy can vary a lot, so we would advise you to always do your math after the consultation, when you can know precisely the investment amount you need. Also at this point you can explore and discuss the payment options.
I would like to get this treatment, but I don't live in Timisoara. Do you provide any facilities for foreign patients?
Over 40% of our patients are not local patients. We provide logistic assistance for your trip to our clinic and also refer you for after-care in you own city or country. More info here.
I already had the implant surgery done somewhere else. Is it possible to restore the implants at Dentcof?
Yes, we need to know the brand and sizes of the implants placed. You can get this information from your surgeon.
What types of implant do you use at Dentcof?
Most common brands we use are : MIS, Nobel Biocare, Megagen, Ankyloss. More on this topic here.
