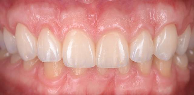
In every smile, we aim for harmony between gingival display and teeth. In most smile design projects we have to do delicate changes in the gingiva, to improve harmony. While doing so, we always have to consider biological implications of our esthetic decisions, and think for long term stability. Crown-lengthening procedures are techniques designed to recontour both gingiva and bone, according to an esthetic or biological purpose.
We like to be delicate on tissues, generally always favoring least invasive technique suitable for a clinical scenario. Also we always correlate surgery with design, and we do this in 2 ways. First we use guides for all crown lengthening procedures. Second we always support the surgeries with proper prosthetic support, guiding the healing process in relation to design.
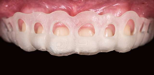
Guided
We manufacture tissue reduction guides, which are 3D printed and used to guide the surgeries. This allows the surgeon to be always connected to the prosthetic team, and brings unified vision in the process.
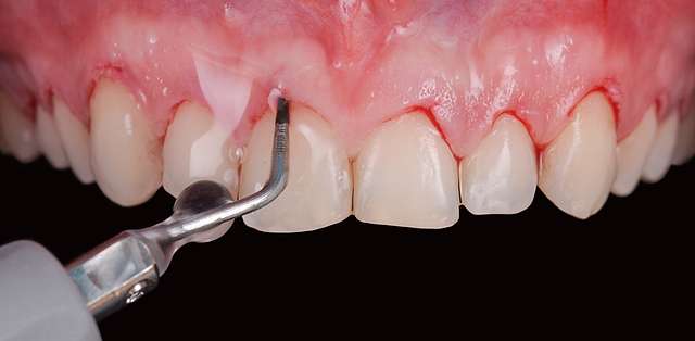
Less flaps
Most of the surgeries that we do are flapless. This minimal invasive approach to both tissue and bone, whenever suitable, allows far better healing, and greatly reduced delivery times for final prosthetics.
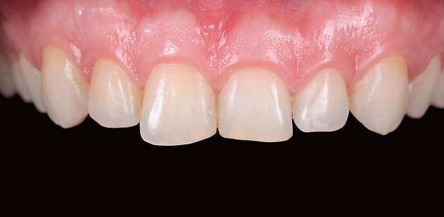
Prosthetic healing
Half of the success and stability of a surgery is the prosthetics. For this reason, we use prosthetics in conjunction with surgery, allowing us to guide the healing according to our desired outcome.
