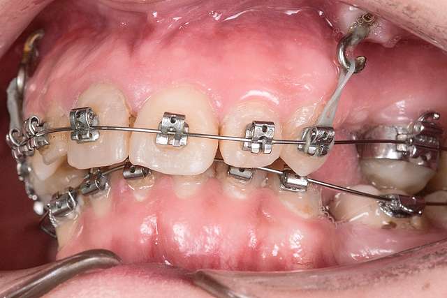
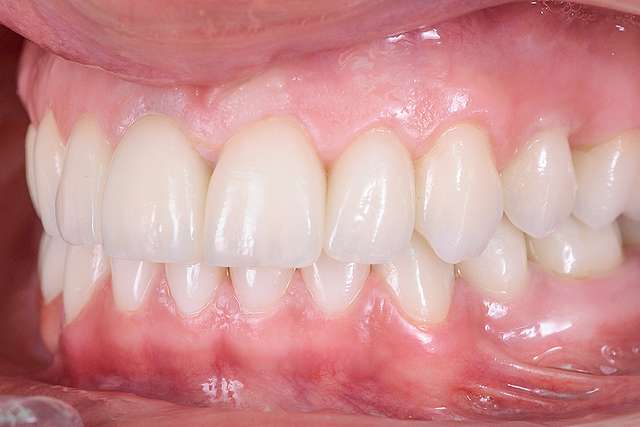
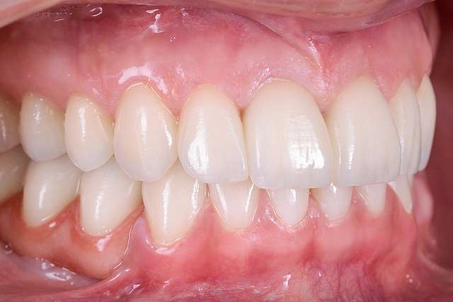
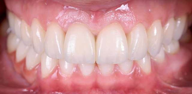
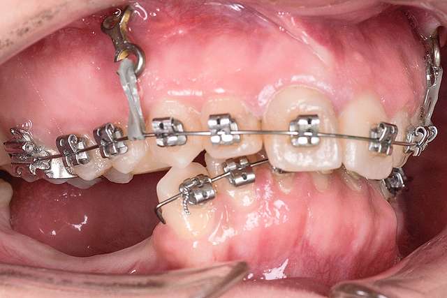
Orthodontic treatments will solve problems related to tooth position, incorrect bite, TMJ disorders, and last but not least, it is one of the most efficient tools in esthetic dentistry. It is used in synergy with other treatments to solve complex cases, or to facilitate minimal-invasive dentistry. Most orthodontic treatments have the option of being performed without brackets, by using sequenced invisible detachable aligners. Read more about Aligners here
Centralized Design
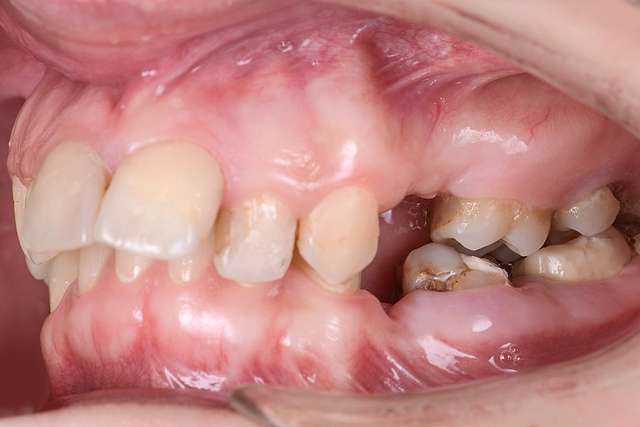
What sets us apart is the planning philosophy. For each complex case we always create one centralised design, that coordinates all disciplines and procedures involved, maximising the estethic, biologic and functional potential of the treatment. This approach is superior to the classic segmental way of doing things, where the patient is referred from one specialist to the other, and perspective is lost along the way, as each specialist tends to see a different angle to the case.
Capitalising on synergies
Once more disciplines come into play, it is the synergies that will bring most benefits, if capitalised upon. One example can be the overlapping of healing times with the orthodontic treatment to shorten overall treatment duration. Another example is the use of prosthetic design, as a scaffold for guided tissue healing. All of these and more are possible and can lead to spectacular results, and this is where our expertise lies. In understanding how to combine the different disciplines, to maximize the result, having a centralized perspective of the case at all times, which has all the specialists geared towards a common goal.
Designed to last
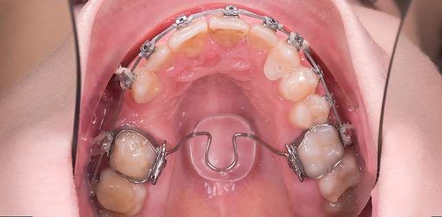
Orthodontic treatments are designed and pre-simulated in balance with TMJ , muscles and patient specific motion. Biomechanics are validated using CBCT, allowing us to always relate root movements to available bone and reduce side effects. Careful planning of all of the above factors results in precise and shortened treatments and very low relapse rate.
