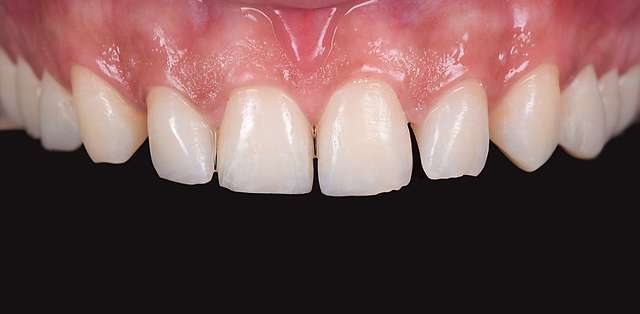
Composites are the first choice for treating caries. For composites to be long lasting, we rely on specifics such as isolation, precision and adhesion. More specifics, longer the lifespan of the restoration. Composite restorations are a non invasive treatment option, that can improve the aesthetics and harmony of the smile. Restoring teeth in the anterior region using composite provides patients with quick aesthetic results, as well as removal of caries.
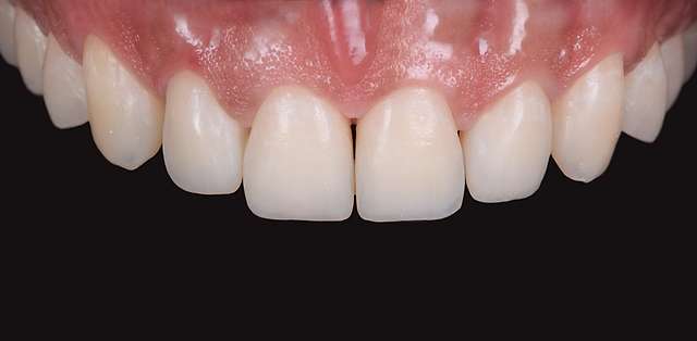
A rubber dam is placed for perfect isolation, the teeth are restored in one session. There will be a second session for finishing and polishing. We use composite materials that are of high value, following the requirements of strength and morphologic stability, biocompatibility with the surrounding tooth structure and the ability to adhere to the tooth surface for a long time. A bleaching can be performed before composite restorations, in order to get the best esthetic result.
Composite restorations for caries
Composite restorations for aesthetics
