Orthodontics

Achieving a larger smile

Book an appointment

Treatment architect

Specialists

Technicians

Ioana Popp

Logistics

Maria Macarescu

Procedures

Orthodontics

Veneers

Dental Implants

Dental Crowns

Crown Lengthening

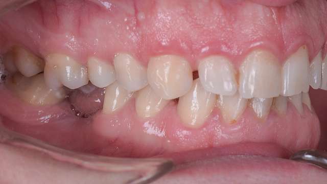
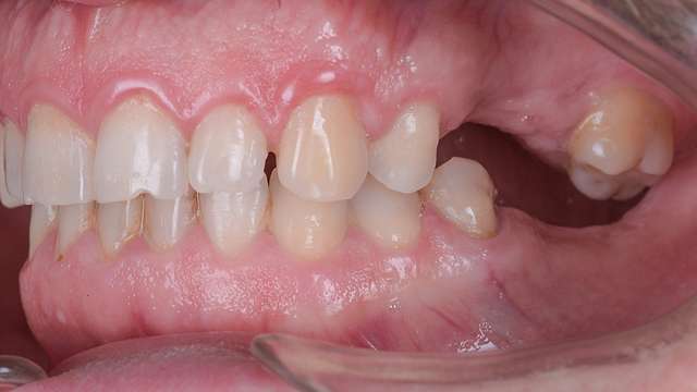
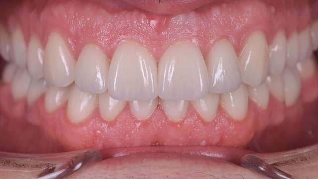
There are many things that are achievable with an orthodontic treatment, beyond the alignment of teeth, especially when working interdisciplinary. This case is a perfect example. Here outside of aligning teeth, we managed to correct the gingival display and we also reshaped the buccal corridors. The resulting smile is wider and more balanced. As a final touch , we personalised the details using naturally looking ceramic veneers. This case is featured on Smilecloud, as the whole treatment has this technology at its core.

   

Treatment architect

Specialists

Technicians

Ioana Popp

Logistics

Maria Macarescu

Procedures

Orthodontics

Veneers

Dental Implants

Dental Crowns

Crown Lengthening

Book your appointment

Contact me in 48h

Contact me in 24h

I have been informed that, in response to my request, Dentcof will process the above personal data in accordance with the Privacy Policy .

We are replying to the email we receive based on their importance and urgency. We are trying, however, to reply within 48h of the receival of the message.

Schedule your consultation

+4 0373 808 103

contact@dentcof.ro

We are replying to the email we receive based on their importance and urgency. We are trying, however, to reply within 48h of the receival of the message.