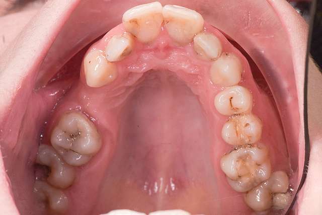
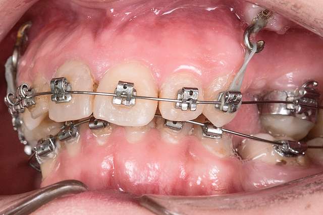
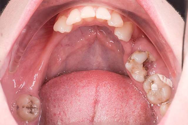
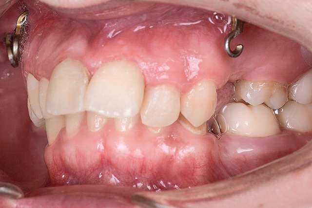
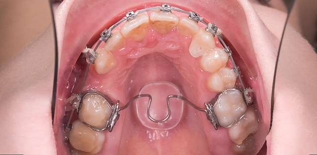
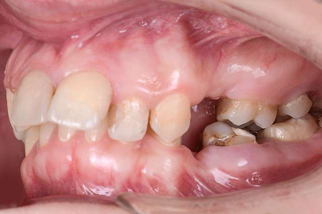
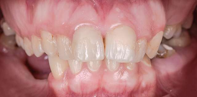
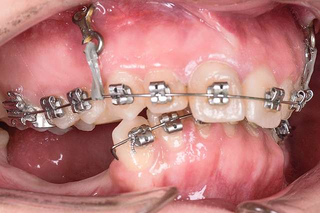
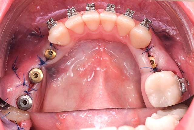
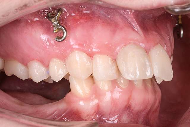
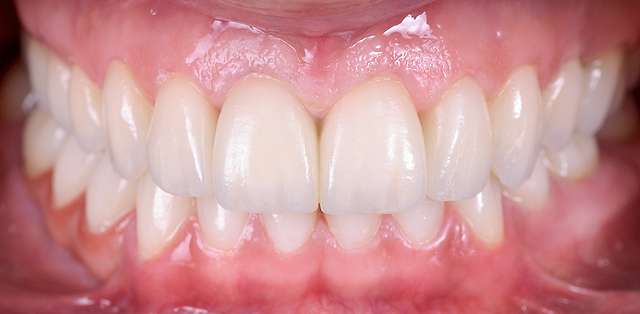
We still have the videos and the memories from her first mock-up, when she started crying. We all knew how much she wants this smile, and we knew we could really achieve something special. The treatment took 2 and a half years. Skeletal Orthodontic treatment, and salvaging everything we could (we did not extract a single tooth). After that we placed the implants and rebuild each site in a different way, as we were dealing with very different scenarios.
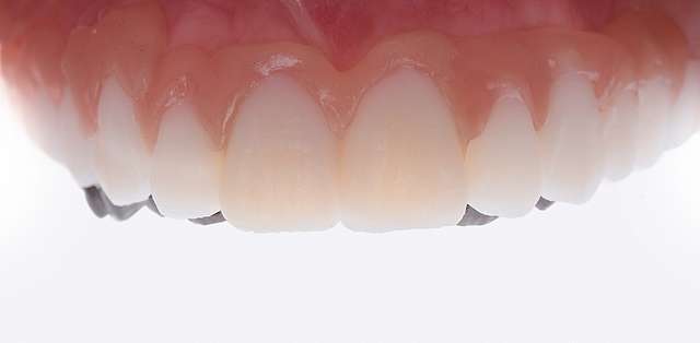
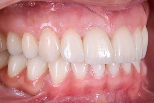
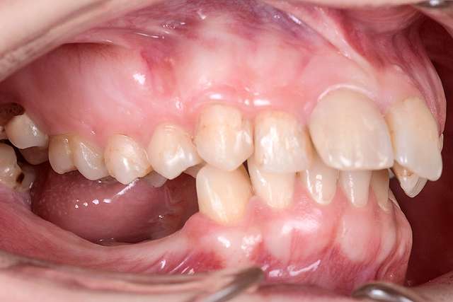
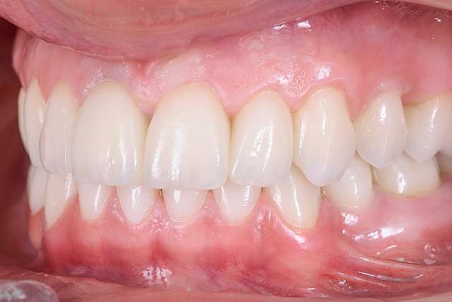
On one side we regenerated the tissues, on the other we used pink ceramics. We also used a bio-pmma implant for lip support, and we finished up with ceramic veneers and crowns. But what really made all of this possible, was the way this case was planned. Everything was planned from moment zero, all 4 specialties. Its one of the cases where we learned a lot as a team.
