Dental implants

Missing laterals

Book an appointment

Treatment architect

Specialists

Technicians

Ioana Popp

Logistics

Maria Macarescu

Procedures

Orthodontics

Dental Implants

Veneers

Dental Crowns

Root Canal Treatment

Composites

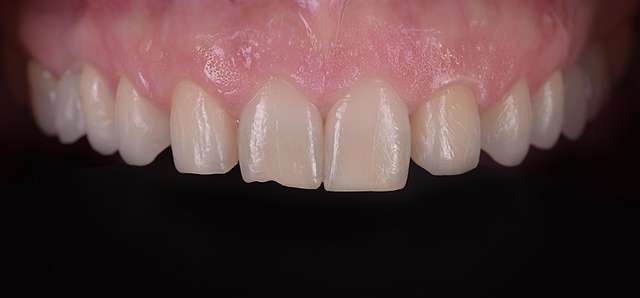
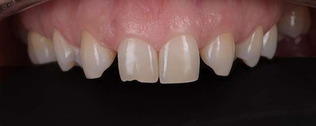
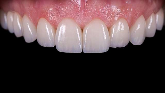
In this case we chose a less popular approach. Instead of opening spaces for the missing laterals, we chose to close the spaces via orthodontic treatment. Then we converted the canines in to laterals, and the premolards into canines using ceramic veneers. This allows us to place the implants in the posterior area, instead of lateral position, which on the long run, its a strategic decision, as any potential complication, is much easier to manage. Also the ceramic veneers provide us with enough versatility to achieve the esthetic potential of the case. This case is published in the Compendium of continuous education in Dentistry - 2021 and featured as a RAW Miniseries, as part of Dentcof Masterclass.

   

Treatment architect

Specialists

Technicians

Ioana Popp

Logistics

Maria Macarescu

Procedures

Orthodontics

Dental Implants

Veneers

Dental Crowns

Root Canal Treatment

Composites

Book your appointment

Contact me in 48h

Contact me in 24h

I have been informed that, in response to my request, Dentcof will process the above personal data in accordance with the Privacy Policy .

We are replying to the email we receive based on their importance and urgency. We are trying, however, to reply within 48h of the receival of the message.

Schedule your consultation

+4 0373 808 103

contact@dentcof.ro

We are replying to the email we receive based on their importance and urgency. We are trying, however, to reply within 48h of the receival of the message.