What makes this case difficult is the context. The patient comes after an orthodontic treatment, and is unhappy about the outcome. As you would expect, she is not keen to go into orthodontic treatment again. Which leaves us with a series of problems to manage. We have a canine on lateral position, with an elevated gingival level, significantly higher than what we would wish for in a future lateral. By default, the canine is a large tooth, with a bulky root.
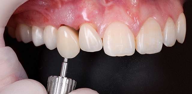
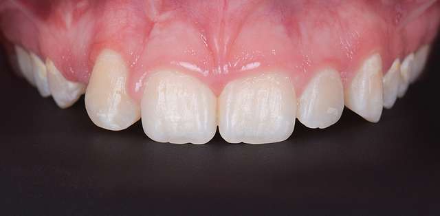
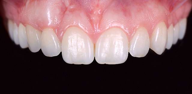
Furthermore we have no space, or not an optimal space for a dental implant. The key strategy here revolves around reducing the root of the canine, in order to be able to achieve a tapered profile of the future lateral, and at the same time to create optimal space for a dental implant, which we place fully guided, to ensure maximum precision. Also we opt for remodelling the gums and use additive veneers on the laterals and premolars. Centrals remain untouched, we simply enhance their proportion with a delicate crown lengthening procedure.
