Guides
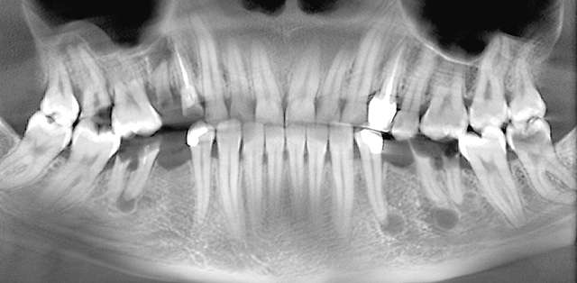
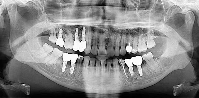
Surgical guides are used for more safety and precision in complex cases that require dental implant therapy. Guides are 3D printed based on the digital planning of the surgery, using specialised software and the CBCT of the patient.
Digital design and planning
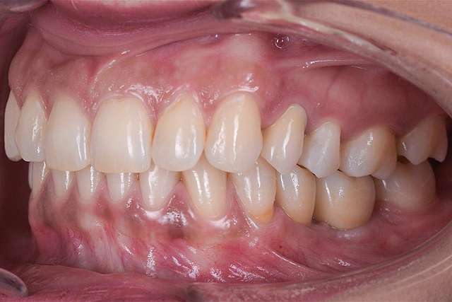
For optimal esthetic results, the final design must always be the refference for the surgery. This design together with the CBCT of the patient are compiled to find the ideal position of the dental implants.
Safe and precise
Guided surgery is safe and precise. A surgical guide is recommended in difficult or complex cases, to minimise risks and complications.
Reduced Trauma
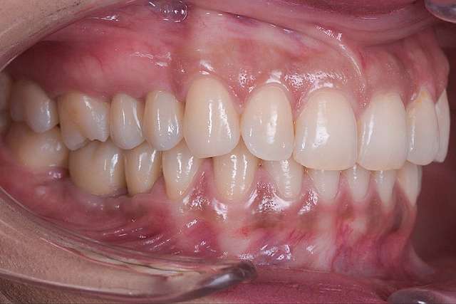
When implant therapy is performed with guided surgery, the surgery itself is simpler, and trauma is reduced especially for the soft-tissues. Overall we can achieve faster healing and better post-op comfort.
