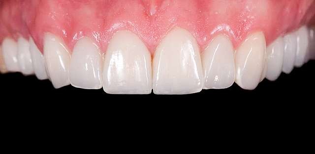
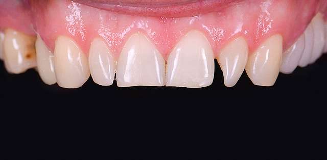
A mock-up is the visual side of a treatment plan. Consider the treatment plan as something scriptic, that contains price estimates and procedures, some hard to understand. Consider the treatment plan as the text , whereas the mock-up is the drawing meant to explain it. Traditionally the mock-up was used to test prosthetic design of a future restoration. In present times the mock-up is used at the beginning of most rehabilitations to express visually the esthetic impact of the proposed treatment plan. The entire process is non invasive and reversible. The mock-up is transferred on top of the existing teeth, whenever possible , and a series of optical ilusions is used in order to simulate the future smile. Generally it is communicated to the patient via pictures or videos, that will serve as the draft for communication between patient and the team treating him.
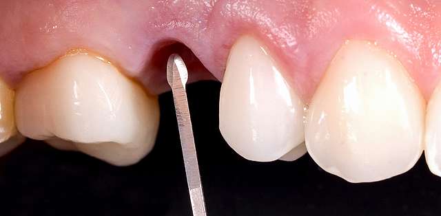
The mock-up just like a treatment plan can simulate a diverse array of procedures that vary on cases basis. In this case, we have dental implants and tissue grafts in posterior areas, on both sides, and ceramic veneers and crown lengthening in anterior side to balance the smile. As a fine detail , you can see how the dentist uses a black marker to simulate the area of the tooth which will be reduced. The mock-up, once accepted becomes a cental pillar in an interdisciplinary treatment. It will be used to determine how the gums will be remodelled , where the implants should be placed, and how the teeth need to be prepped for the future restorations.
