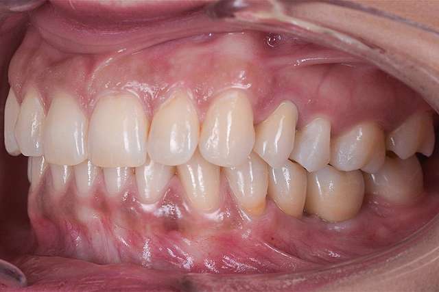
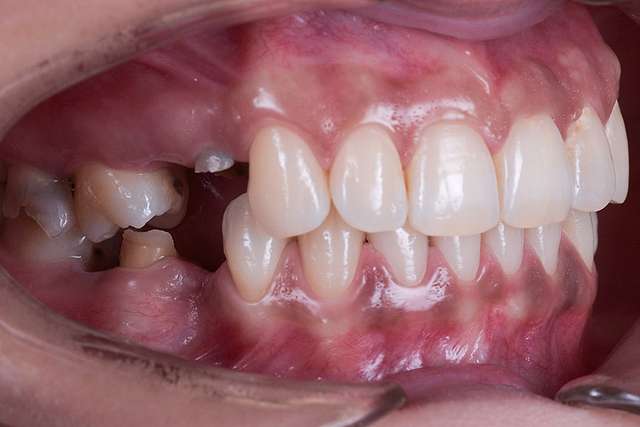
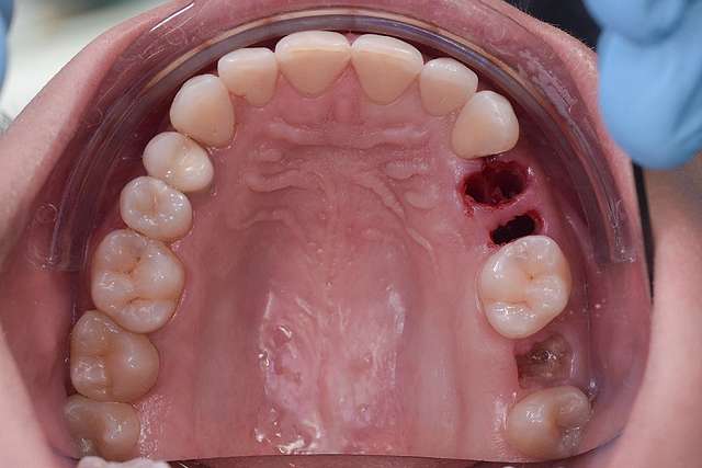
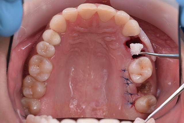
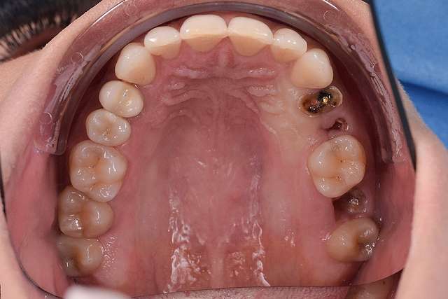
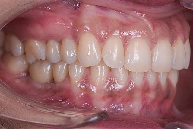
Dental implants are treatments designed for teeth that we can no longer save. Dental implants rely on the principle of osseointegration, or in other words, on the implant being integrated in the bone. For a long period of time, this was the main objective of the industry. Osseointegration, placing implants in relation to bone. Today , we know that osseointegration is extremely predictable and we focus on key elements that can make the difference in the quality of the end result.
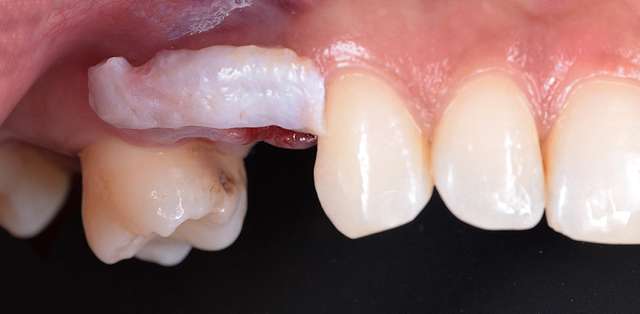
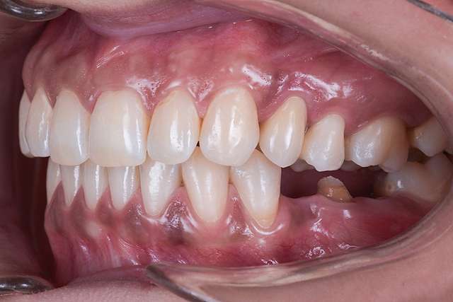
Guided surgery, for one, facilitates an ideal pre-planned position, in relation to available bone, and even more important, in relation to the future implant supported crown. Guided surgery translates into increased precision, which means safer surgeries, reduced surgery time, and reduced trauma. Also the focus of these types of treatments is shifted towards tissue reconstruction, which on the long run, has a far greater impact esthetically and biologically. Tissue stability means implant longevity. This case is a relevant example for this type of approach towards implant dentistry.
