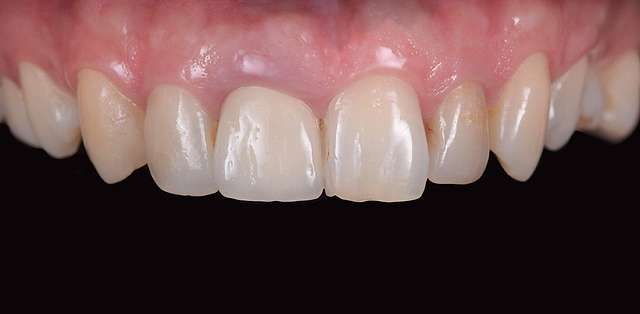
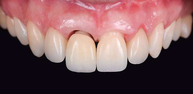
Dental implants in frontal area are always a challenge when we want an "invisible" outcome. When a tooth is lost for any reason, we also are dealing with a following shrinkage of both gingiva and bone, and here lies the challenge.Inserting the implant is the easy part of the whole treatment, especially when working with a surgical guide, which pretty much guarantees a precision standard. The surgical effort is focused on reconstructing the tissue, which inevitably wil undergo a shrinking process, following the root extraction.
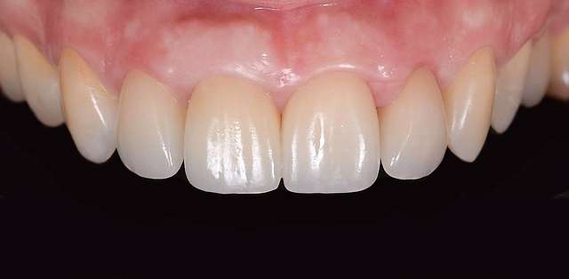
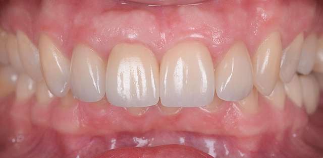
This is the reason why we need take this into account while planning the implant surgery, to ensure the optimal space for adding artificial bone and the soft tissue graft. Also the design of the prosthetic component follows the same narrative, and serves as a guided healing scaffold for the tissues and is meant to support the surgical procedure. This case is presented in detail in the presitigous publication Quintessence Journal Of Dental Technology, 2021 edition.
