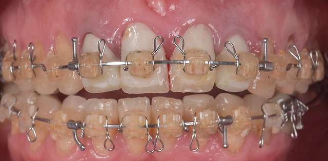
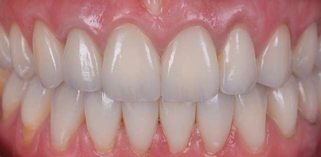
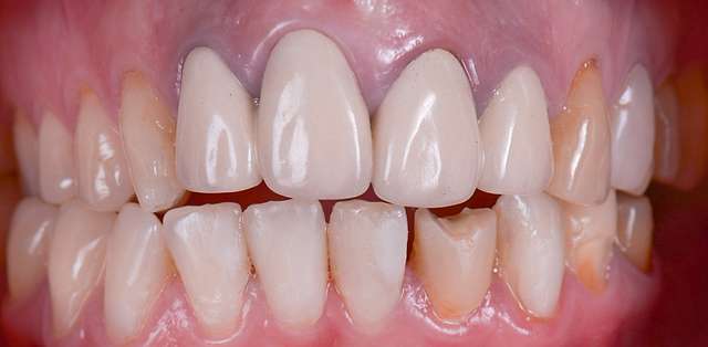
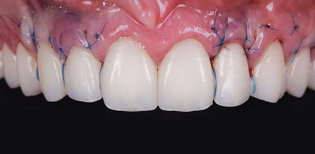
When case complexity demands, we need to approach it from a multidisciplinary perspective and gather the skills necessary to tackle the challenges. A multidisciplinary treatment is by definition a treatment where multiple disciplines are involved. A successful multidisciplinary case is a treatment where these disciplines agree on a common course of action and is executed with military discipline and aviation precision. Discipline, relationship between the people inside the team and the chain of command are just a few of the essentials for a treatment that can last 2 years or more.First of all, patients that have the courage and dedication for these kinds of transformations, deserve a special kind of devotion from the people treating them.
This is the first rule, for anyone wishing to be part of a team like this. Second is the discipline of documenting each step, and the patience to run all scenarios in a draconic planning process that spans each discipline and is at the same time centralized at all times in one unique design. The sovereignty of decision goes to the one specialist that has the highest responsibility, to the one that needs to carry the rest. In this case, it's the orthodontist who has the hardest part. Wouldn't want to spoil it more as this case is presented in detail in the prestigious QDT Journal 2021.
