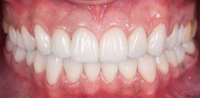
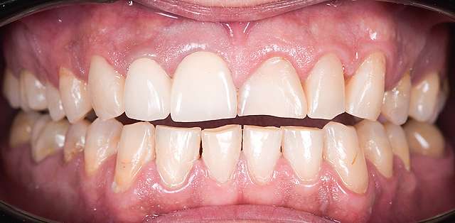
Bite problems can be multiple and they usually have symptoms such as head aches, muscle tension, bruxism. Other effects in time can be tooth wear or periodontal problems. When the periodontal support is strong, in a young patient like in this case, we will see tooth wear.
The treatment logic here is first of all, achieving a functional stability with the use of a splint. Splints allow us to validate both diagnostics and design options in a reversible way. Once symptoms disappear, as the patient wears the splint, we can proceed to final ceramics, for a permanent result.
