Ceramic veneers

Replacing ceramic veneers

Book an appointment

Treatment architect

Specialists

Technicians

Ioana Popp

Logistics

Maria Macarescu

Procedures

Veneers

Dental Implants

Dental Crowns

Crown Lengthening

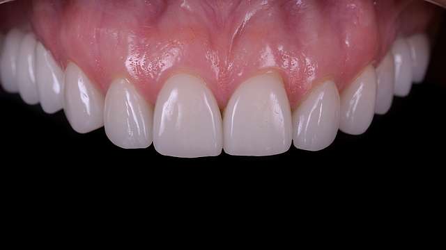
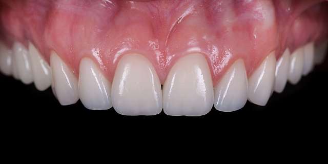
These veneers are in a very good condition, biologically speaking. They were placed in US, 12+ years ago. Afater 12 years, we can tell you that they were extremely hard to remove. The lifetime of a ceramic veneer can vary anywhere between 10 and 30 years. Assuming they were properly executed / mantained, they tend to be a long lived treatment. The reason we are changing them in this case is to reoptimize the design in relation to the tissues which naturally aged in this time. Also we rebalanced the posterior areas, where we upgraded existing bridges to implant supported restorations, and remodelled the gingiva in the process. Due to this reasons, the new smile feels more harmonious.

   

Treatment architect

Specialists

Technicians

Ioana Popp

Logistics

Maria Macarescu

Procedures

Veneers

Dental Implants

Dental Crowns

Crown Lengthening

Book your appointment

Contact me in 48h

Contact me in 24h

I have been informed that, in response to my request, Dentcof will process the above personal data in accordance with the Privacy Policy .

We are replying to the email we receive based on their importance and urgency. We are trying, however, to reply within 48h of the receival of the message.

Schedule your consultation

+4 0373 808 103

contact@dentcof.ro

We are replying to the email we receive based on their importance and urgency. We are trying, however, to reply within 48h of the receival of the message.