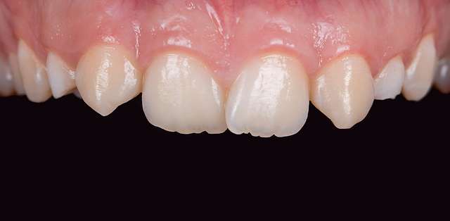
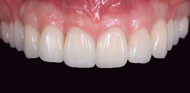
Andrada was born with missing laterals, and having canines in lateral position. Deciduous canines were in the permanent canine position. Design in this scenario is a sum of details and optical illusions, outside of the obvious treatment decisions. The treatment in her case consisted in dental implants to replace the deciduous canines, and a smile makeover using veneers. When it comes to the fine details, an honorable mention is the connective tissue grafts at the implant level, that are designed to improve the tissue profile, as the canine has a particularly large root.
Another detail is obtaining a subtle profile at the future lateral level. To achieve this, we need to reduce from the existing canine roots, which are on the lateral position. One last detail is about redistributing the space via crown lengthening. Naturally, a canine is much wider than a lateral, which results in a non aesthetic proportion, if we simply reshape the canine into a lateral, using the same space. To improve this, we need to lengthen the existing teeth, redefining its proportion by remodelling the gum levels.
