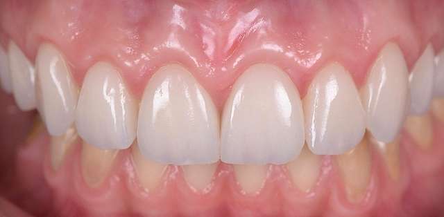
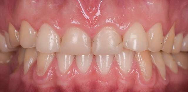
9 out of 10 veneer cases need small tissue adjustments. In this case we recontoured the gingiva using a laser and a soft tissue guide. During this procedure, we also performed a frenectomy (indicated when the frenum insertion is too low). It is paramount that the bone is recontoured accordingly, respecting and re-establishing the biologic width, otherwise we will not achieve stability.
In this case, bone was recontoured flapless using an ultrasonic tip. This allows the surgery and the preparation for veneers to be performed in the same appointment. Crown lengthening allows optimal, more tapered proportions for the future veneers. It balances the gingival margins and helps us achieve an aesthetic and biologic equilibrium.
