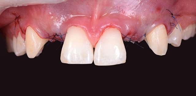
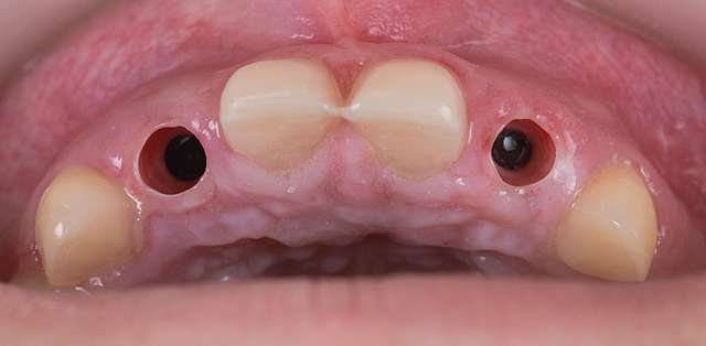
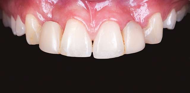
More and more young people are born missing lateral incisors. Generally we avoid placing implants under a certain age (18-20 years) for a simple reason. The implant has a fixed position, and teeth are still erupting, which can lead to problems in time.
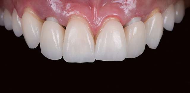
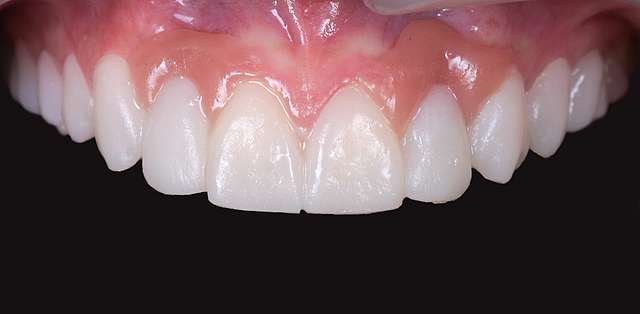
However, as we delay the implant, the underlying bone and gingiva starts to shrink, and when the time for the implant comes, there is little bone / gingiva left. As a conclusion , all these cases, require the focus on bone / gingiva reconstruction to get a natural result on the implant supported restoration.
