Retreatment

Old implant restorations and veneers

Book an appointment

Treatment architect

Specialists

Technicians

Ioana Popp

Gabriela Lascu

Logistics

Procedures

Composites

Root Canal Treatment

Crown Lengthening

Veneers

Dental Crowns

Soft Tissue Grafts

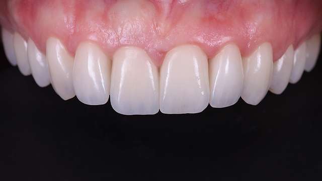
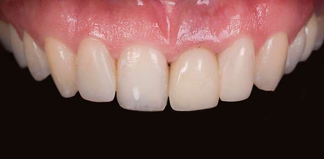
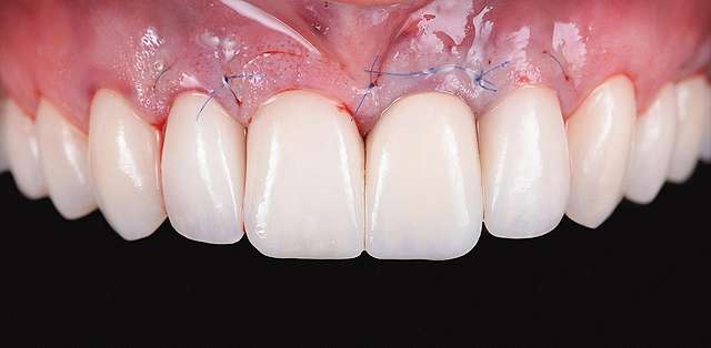
5-10 years ago, the main focus when placing an implant was osteo-integration, less attention was given to tissue reconstruction. Today we know that if we don't take tissue shrinkage into account, which is inevitable after any dental extraction, this will impact final design, in the sense that it's really hard to have an aesthetic outcome, because the gingival profile of the implant will be different. Also, it's unanimously accepted today that there is a direct correlation between the stability of an implant restoration in time and the gingival volume around the implant.

In other words, tissue reconstruction is the key element in achieving both a natural and long lasting result. In this case we retreated a case with implants placed 5 years ago, which suffered from the aforementioned problems. The implants were ok, so we re-used them, but we augmented the gingiva, and together with that we redesigned the restorations, which served us as support for guiding the healing. We also replaced the existing composite restorations with ceramic veneers, and harmonised the smile with a long term option (lifetime of a ceramic veneer is significantly longer than of a composite veneer)

   

Treatment architect

Specialists

Technicians

Ioana Popp

Gabriela Lascu

Logistics

Procedures

Composites

Root Canal Treatment

Crown Lengthening

Veneers

Dental Crowns

Soft Tissue Grafts

Book your appointment

Contact me in 48h

Contact me in 24h

I have been informed that, in response to my request, Dentcof will process the above personal data in accordance with the Privacy Policy .

We are replying to the email we receive based on their importance and urgency. We are trying, however, to reply within 48h of the receival of the message.

Schedule your consultation

+4 0373 808 103

contact@dentcof.ro

We are replying to the email we receive based on their importance and urgency. We are trying, however, to reply within 48h of the receival of the message.