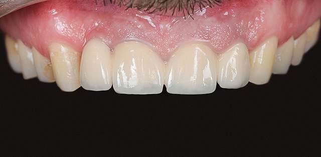
A dental bridge is the classic solution for a missing tooth, in this case a lateral. Although a very predictable treatment option, its usually more invasive (need to prep more the adjacent teeth) and the quality of life may be lower, due to the elements being splinted to each other, patients unable to floss. The alternative is individual units. To achieve this, we need to insert a dental implant where we have the missing lateral, then go for individual restorations on both teeth and implants.
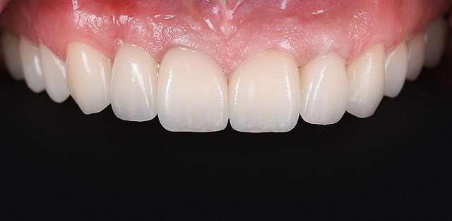
The quality of life tends to be better, the patient has increased comfort with the restorations not being splinted anymore. We also upgraded the design both as geometry, with the use of natural shapes, and in material selections, by using a high value multilayer leucite ceramic, instead of the old metalo-ceramic one. This case was executed as a live demo during a 3 day Raw course in Dentcof, 2019.
