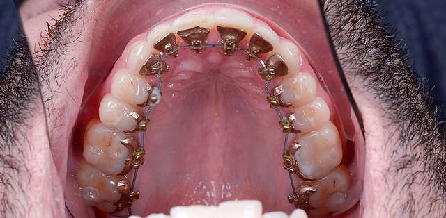
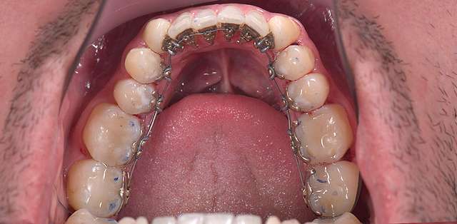
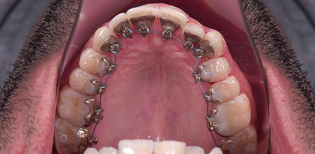
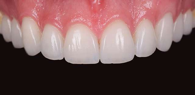
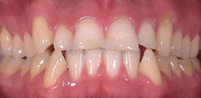
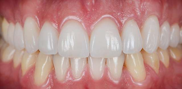
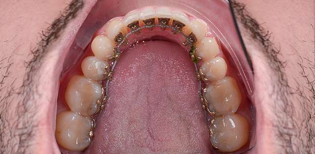
There are 3 perspectives that we have in mind when we evaluate the stability and maintenance of a veneer treatment. First perspective is technical. Here we are usually dealing with human error, or protocol errors (mainly adhesive protocols) Generally, in a good clinic, these errors are quire rare, and the easiest to handle. Second perspective is a functional one, and here things scale in complexity, and errors start be costly, many times leading to a complete rework of the case. In this case, executed in 2015, functional stability was achieved by the orthodontic pre-treatment, and the case is still stable at the time you are reading these lines.
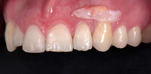
Third perspective is the biological one. Biologic stability is not referring to the actual veneers, but to the tissue surrounding them. In this case, 3 years down the road, we did a small tissue graft as a maintenance treatment, to prevent and to compensate a small tissue recession. Maintenance is indirectly proportional to quality of the planning and execution. The better the plan / execution, the more stable a case will be. This case was published in the prestigious journal JCD (Journal of Cosmetic Dentistry 2018)
