"For everyone who has a hammer, everything starts looking like a nail." A Kaplan Most often, when it comes to choosing between an orthodontic treatment and veneers in a case like this, it will all boil down to who you are asking. Most likely if you ask an orthodontist, answer will be aligners or some sort of ortho, and if you ask a pros guy, the answer will be veneers.
It is paramount to define exactly what we want to achieve, and the generic "beautiful, healthy functional smile" is not enough to solve this dilemma. We need to be specific, we need to be visual, we need to do a mock-up, in order to understand if changing the position of existing teeth is enough to serve our purpose, or if we need to change the shape or size of existing teeth as well. A design will always shed light in cases like this, and if it doesn't completely, its still the best communication canvas to further decide together what is best.
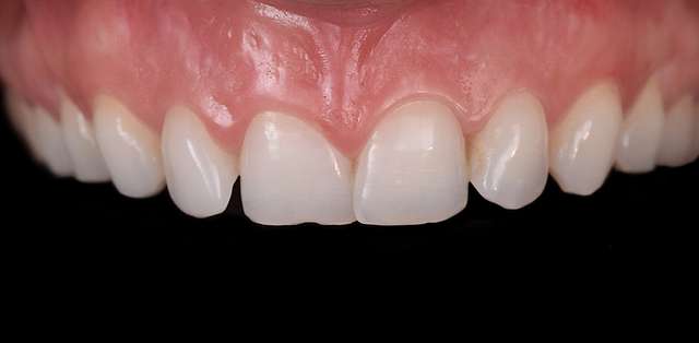
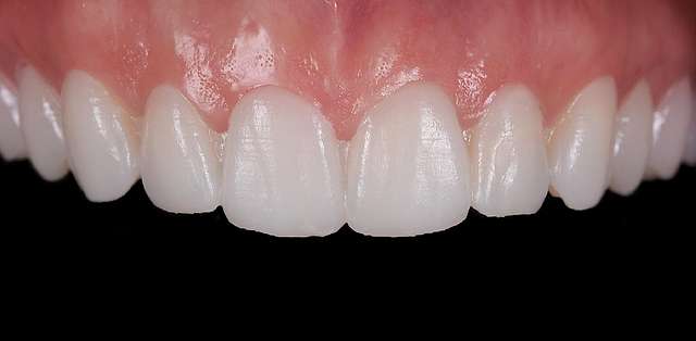
Also, in most cases, there are non-clinical factors as well. Basic example, is patients who have a long term mindset will generally favour ortho over veneers, and the opposite, patients who want it now will favour veneers over orthodontic treatment. Another classic example is patients coming unhappy after an ortho treatment, it will be always difficult to convince them to start over, and its understandable. This case, the patient is a famous model.
Furthermore is a close friend of ours, although she lives far away, in NY. We treated her in a 3 day course. And before we started, we did a design, sat down and discussed the options. We could have gone for ortho, and would have achieved a nice result in a matter of months, by aligning teeth, but we would not be able to change the size / dominance of the smile, which is something we would have wanted. On another hand, she could get it in a few months , or in a matter of days. This time, we went for veneers. And it all turned out well.
