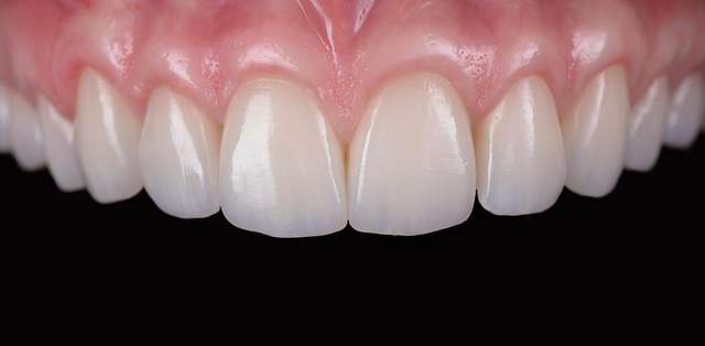
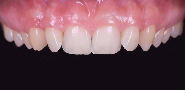
The length of a veneer treatment depends on 3 things
Complexity
Depending on complexity, the length of a treatment can vary quite a bit. In this particular case, an extra layer of complexity in the form of a crown lengthening procedure. Depending on the type of crown lengthening procedure, an extra healing time may incur. In this case, we are using a minimal invasive flapless technique, which allows us to recontour the gums and alveolar bone, and prepare the teeth in the same day.
Other aspects that can potentially increase the complexity of a case : dark teeth or dark gingiva, tissue defects, skeletal or functional problems, severely crowded teeth, multiple old or inadequate composites. Some of these complications are difiicult to manage, some are just time consuming, but they all add up to chair time.
Workflow
The workflow is the recipe used for execution and manufacturing of the ceramic veneers, the role of each specialist and how things are sequenced in the process. Each clinic has its own specific workflow. In our case, we allocate a separate initial appointment for planning alone, where we simulate the entire treatment from start to finish, since before we start any procedure. Then the work is allocated to the team and everything becomes extremely efficient.
This case has been treated during a live demo course in Dentcof and was finished in 3 days. Day one - planning, surgery, preps. Day 2 : Lab. Day 3: Cementation and fine tuning. The same case if it was treated outside a course environment, would most likely take 5 days, which would be an average for us in a case like this.
Logistics
Classic logistics is simple. The dentist takes an impression , classical or optical, sends it to the lab, and will receive a time estimate. The patient will see both time estimates of both dentist and technician, plus couriers, plus delays from miscommunications and redo's. We work with slots. A slot is a pre-alocated time to work on a case. Both dentists and technicians have slots. We start a case whenever we sync a slot for both a technician and a dentist.
This will have the patient spending a minimum amount of time in provisionals, technician and dentist work in real time, in the same location, minimising all communication problems, and other issues which results from specialists desyncing. This makes us, on average, twice as fast as industry average, even more in some scenarios, without losing quality. Execution will only last longer based on increased complexity alone, and required healing times.
