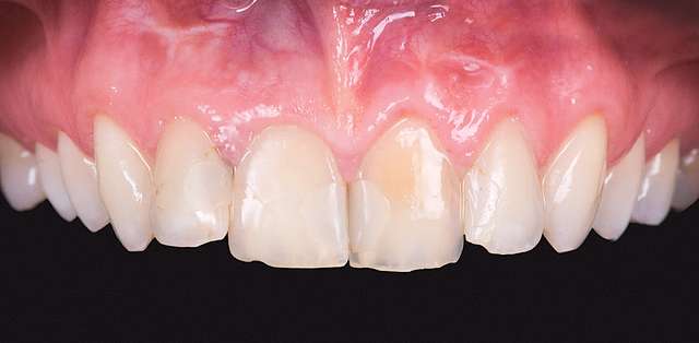
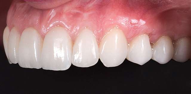
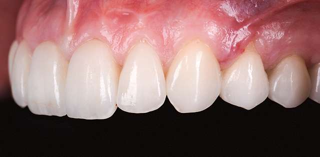
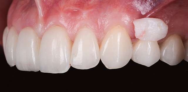
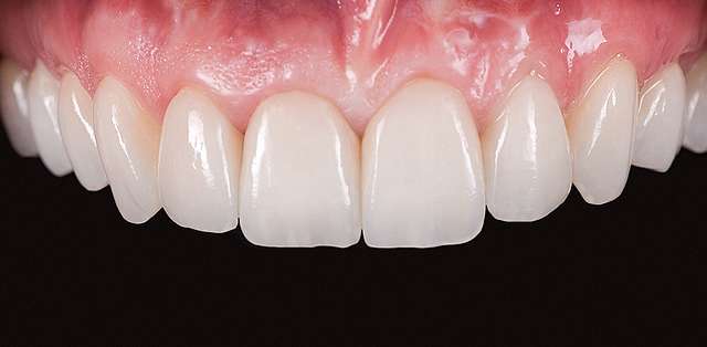
Veneers are predictable treatments and they score quite high on longevity. Their longevity depends on a series of factors. First of all, a strict adhesive protocol. Second key factor is occlusal stability. Third is biologic integration. In this case, we are highlighting this aspect.
When we planned and executed these veneers, we also went for a soft tissue graft at the premolar level, in order to promote tissue stability (you can notice, there is too little attached gingiva left around this tooth. also there is a gingival bridle that will be an extra risk factor due its traction effect). This case was done in a live demo during a RAW course in Dentcof 2015.
