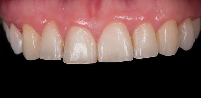
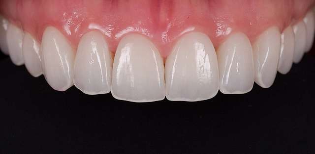
This case in an example of a counter-trend in design, in an industry that strives for symmetry and perfection. What makes this case special is the diversity used in design. We purposely selected and used 12 unique natural shapes of teeth. All different, none of them pairs in any way. All shapes used are asimetric. None is man made.
We balanced them as position and color, and boosted their lifelike luminosity with a glass ceramic. Was one of the first experiements of design which demonstrated a rather obvious truth. Harmony is easy to achieve with natural shapes. There is a magic in nature. All is different, all is unique. Nature is harmony. Harmony is beauty.
