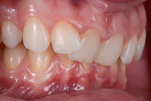
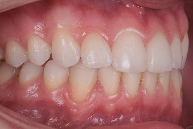
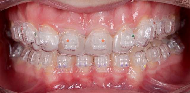
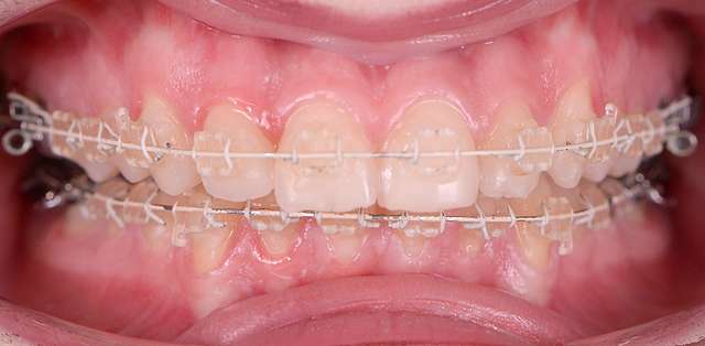
Most often, when orthodontic treatment is an treatment option, its a solid one. In the sense that always facilitates less invasive smile rehabilitations, and consequently more long lasting results. In this particular case, the smile could have been restored using a combination or veneers/ crowns / crown lengthening. The advantage would have been : a faster treatment. The disadvantage would have been : a significantly more invasive treatment. The alternative we chose was an orthodontic treatment , that also had a surgical component in order to compensate for the skeletal discrepancy between the upper and the lower jaw. This alternative has multiple benefits that are not limited to teeth, but also will improve the facial esthetics by balancing in more harmonious way the thirds of the face as well as significantly improving the profile of the patient.
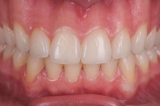
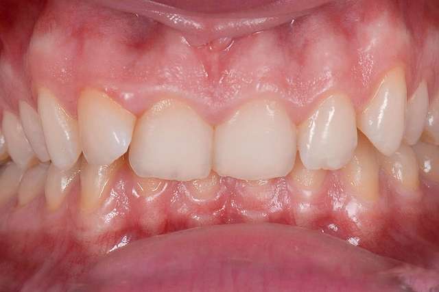
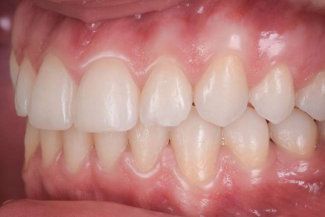
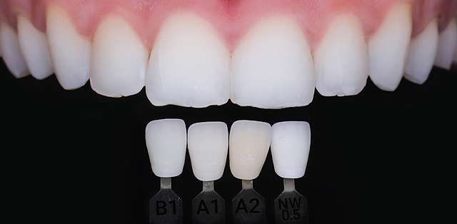
Furthermore, our patient has intact natural dentition with beautiful shapes. If we corrent the position of teeth, we only need to do small composite corrections to reach our design goals. To conclude, we must correctly determine what is the true nature of the problem when we design. If the nature of the problem is shape, then maybe the solution is prosthetics, but if the nature of the problem is position, then for sure the soltion is orthodontic treatment, especially when we have added benefits to that , such as improving facial esthetics in the process. Acest was published in the prestigious journal of german orthodontics Kieferorthopäde Nachrichten , novemeber 2017 edition.
