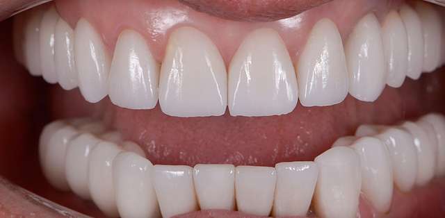
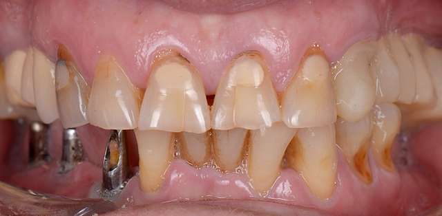
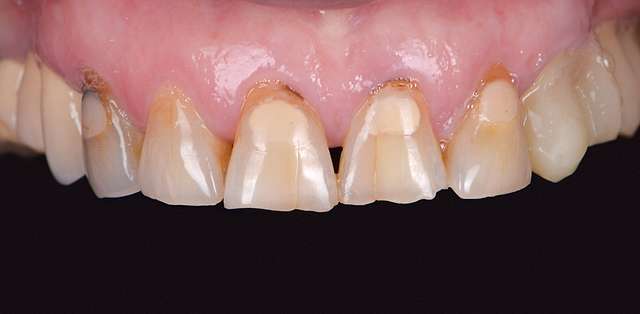
As time goes by, teeth start to wear physiologically, and become shorter. Their proportions start to change and this is perceived as an aging effect. Central dominance is lost, which is one of the main characteristics of a young smile. Gums start to recede and black triangles form in their absence.
And off course the various treatments leave their mark as they reach their lifetime. All of these can be rehabilitated via redesign using ceramic veneers and crowns. Rejuvenation happens as the youthful features are re-embedded in design. Smile rejuvenation is a major component of facial rejuvenation.
