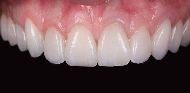
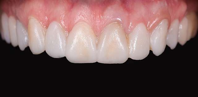
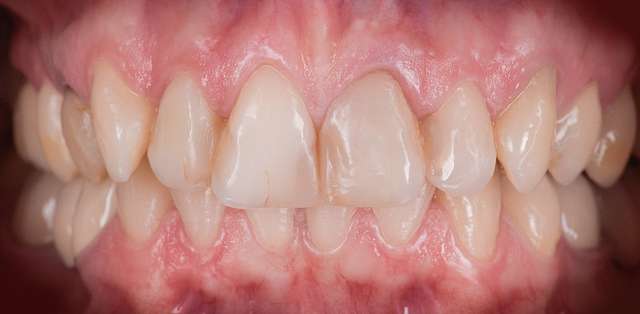
Its not a rule, but its one of our design signatures: to understand and preserve a smile's identity. In this case, we are looking at triangular beautiful shapes of teeth, that have been progressively altered by various treatments, mainly resins, and gradually lost morphology. The texture is quite flat. And another thing we don't really like is the incisal embrasures which are quite aggressive.
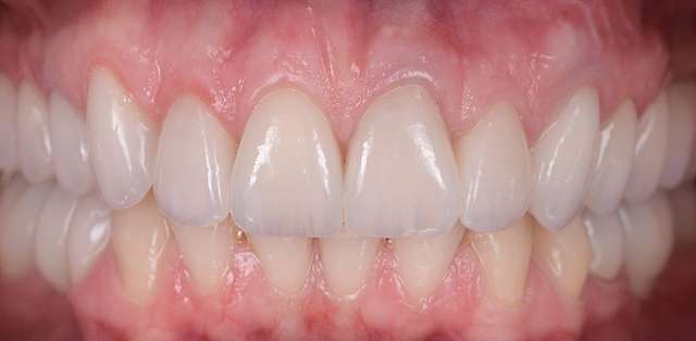
As for design, we would select natural shapes, similar to the original ones, but more textures, to boost their youth and we will position it in such a way that we will close the amrasures. Practically we would restore the long lost beauty of this smile, or it least, that's how it will feel for the patient. Identity is at least as important, as esthetics itself. In a world of esthetics, that is highly subjective, understanding identity, gives us the empathy to view a smile many times in the same way the patient does, which can work wonders in what we are able to deliver.
