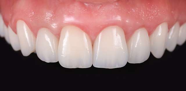
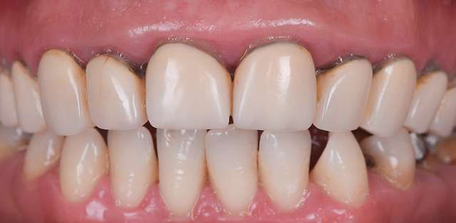
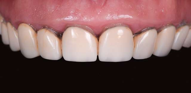
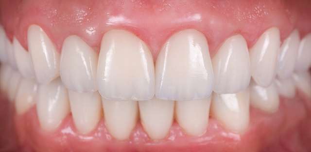
In this case we had to redo a series of old treatments and we went for a hard reset from a functional standpoint. We had 3 key objectives: to reduce the vertical dimension, which was artificially elevated and was not beneficial nor from a functional or esthetic point of view.
Second objective was to optimize the bite. This is always possible especially when we are doing a full arch / full mouth case. Third objective was get natural gingival profiles and papillaes. We had chronic inflamed gingiva and bulky bone to deal with. Somehow all 3 objectives lead to the same design decisions. This story is detailed in the first Masterplan season 2021.
