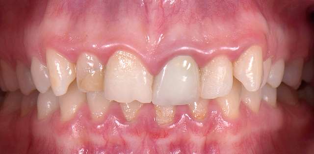
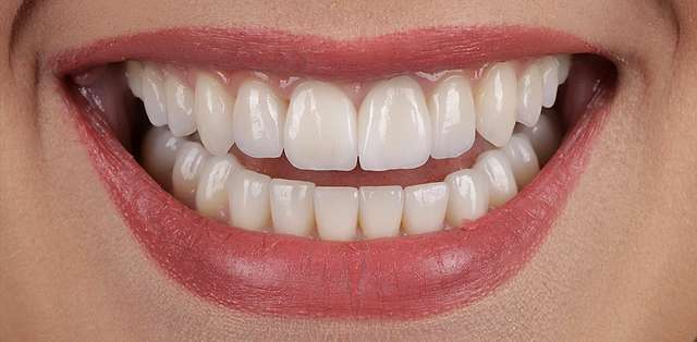
Orthodontic treatments with a surgical component like this one is one of the most complex multidisciplinary challenges, where both planning and logistics play a key role. This type of treatments come with significant facial changes, which is an effect of repositioning maxillary and mandibular hard tissues and consequently muscles and soft tissues.A treatment such as this one will blend in all disciplines, ranging from orthodontics to orthognathic surgery, plastic surgery (rhinoplasty) , therapy, prosthetics (ceramic veneers) and can last 1-2 years or sometimes more.
It requires a draconic planning process, which revolves around a unique design, which all specialties use as a reference. This is followed by a treatment plan that contains all the various procedures and their sequence. Depending on the plan, a specific skill set is required and a team of specialists is formed. The dental lab, plays a key role, acting as an overwatch to the clinical process, by always checking datasets and comparing the progress with the master plan. This logistic discipline, prevents communication problems and small errors that might slip unnoticed and is the key element in the succes of this kind of multidisciplinary treatment.
