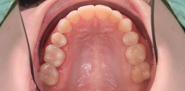
One of the advantages of lingual braces, outside of the obvious one (the fact that it's socially invisible) is that it will preserve intact the buccal surface of teeth. It has a somewhat more complex and difficult biomechanic to manage, but it has its niche for patients who want their teeth straightened but don't want braces to be visible. Lingual braces are usually made from gold, have a high degree of biocompatibility and prevent secondary caries.
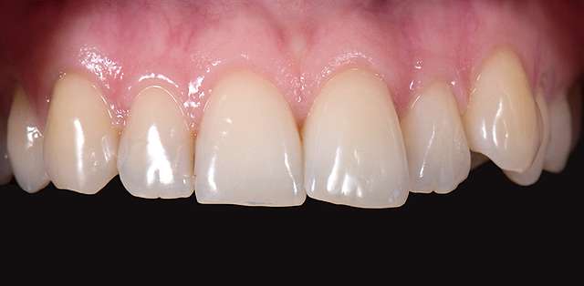
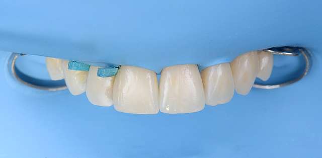
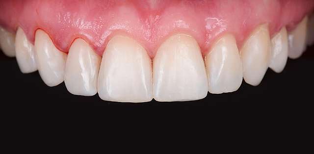
Here we had to deal with a significantly deviated midline, needed to bring one canine on the arch and basically realign teeth on both arches. To finish we did some composite details. When existing teeth have naturally beautiful shapes, orthodontics is many times a superior alternative to prosthetic treatment. It has one disadvantage: requires more time.
