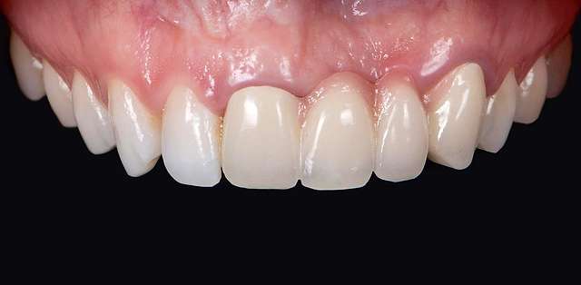
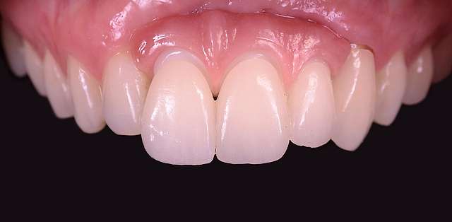
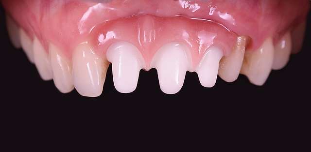
One alternative to cases that are hard to restore with surgery alone, especially trauma and big tissue defect cases, is the use of artificial gingiva. This alternative should always be considered when the surgical prognosis is sub optimal. In this particular case, even though we might have been able to further augment the defect, we would not have been able to restore the lost papillae predictably.
Without papillae, we would have long contact areas, with a typical "bridge-like" look. By choosing to use artificial gingiva, we can be predictable and have an optimal aesthetic result, in a relatively low period of time. What is important for this type of implant supported restorations is the interface with gingiva, which should ideally be placed in an area that the lip does not uncover, and should be designed in a way that it is easy to clean.
