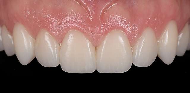
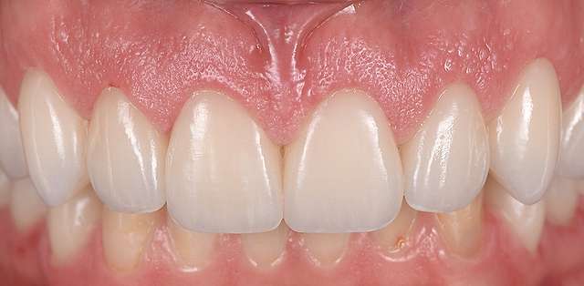
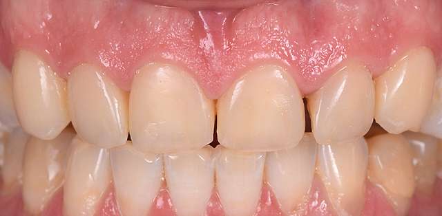
Any treatment, any restoration needs a functional balance to achieve longevity. This patient is coming after 4 years of functional treatments. She is relatively asymptomatic, but her bite is unstable and has an exaggerated vertical dimension via multiple composite restorations. In this type of case, we will first deprogram the patient, using a specially designed splint.
Once we validate the new bite, with the splint therapy, we will register both static and dynamic information ( guidance, phonetics , mastication ) and we will use this data to functionalize design. One major advantage in this technology is the use of patient specific motion, as opposed to a generic articulator. This will translate into a high degree of precision as well as unparalleled comfort for the patient.
