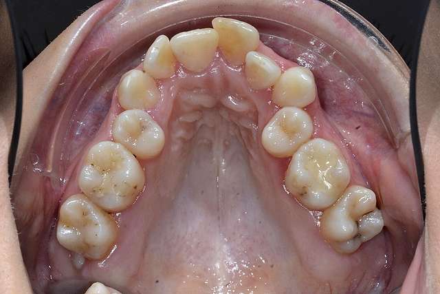
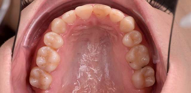
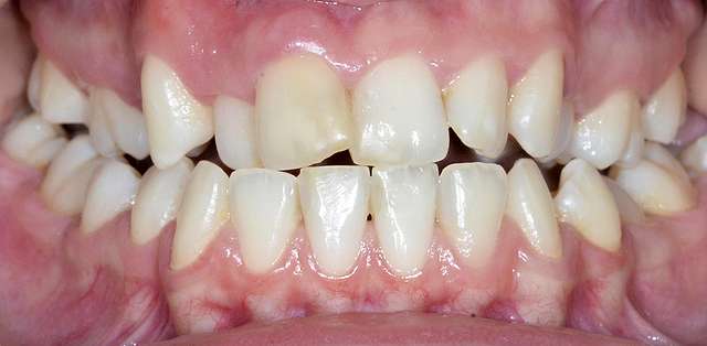
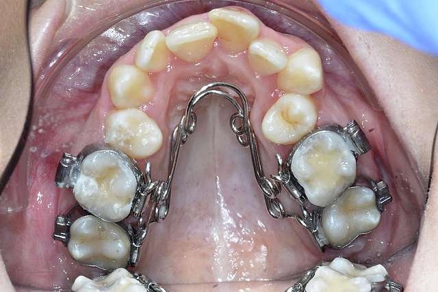
Complex cases need the integration of several disciplines for an optimal result, and the key is the communication between them, and more specifically between the specialists involved. There is a natural sequence to these kind of treatments: first handle the skeletal problems (widen the arch) then align the teeth and redistribute spaces, and last but not least, the ceramic veneers. A simple consecutive succesion will not do, as it is extremely sensitive to errors, it doesn't provide a perspective.
The orthodontist will do his best, and then refer the patient to the restorative dentist, which in turn will consider the start of the case the situation he inherits from orthodontics. In reality, to get the best out of a case like this, both need to start collaborating since moment zero, agree on a common plan, and follow-up supporting each other from both disciplines. This case was a showcase for 3shape smile design technology: 3shape smile designer 2018.
