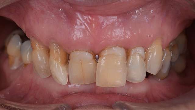
This case, as you can clearly see, has a severe degree of periodontal disease. Teeth are mobile, there are significant tissue and bone defects. In terms of quality of life for the patient, this means a constant bad smell / taste, as an effect of the bacteria, which is impossible to remove / clean. It also means constant inflammation with sistemic effects, and translates into an estethic problem, which is synonim to a psychological / social problem. In such a case, an all-on-x reabilitation is indicated for biologic reasons (eliminates all sources of infection / inflammation), functional reasons (the patient will be able to return to comfortable chewing) and last but not least, esthetic reasons. No matter the age, in this type of scenarios we witness people transform for the better, and its really emotional for both us and them alike. What is worth mentioning here is the natural integration of the restorative. Its really hard to say if the patient has implants or veneers, and which is which. And for us, this is where the challenge lies, and the satisfaction alike.
