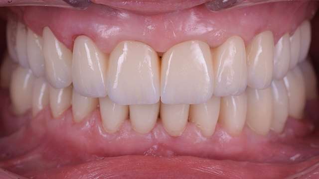
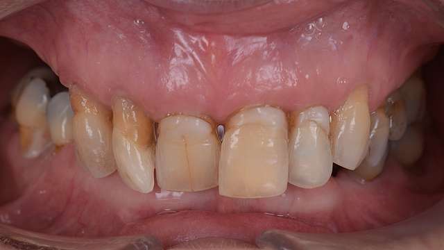
When all teeth are lost, or hopeless, all-on-x is a second wind. Implant supported dentition can restore both the esthetics and function that is lost. All-on-X means all "as in all teeth restored" on x number of implants. Here we have a minimal and an optimal. Minimal is 4 implants, and generally 4 implants is the selected option only when there is a severe bone loss, in order to avoid extensive bone and tissue reconstruction. Optimal is 6 ( for the lower jaw ) , and 6 or 8 for the upper jaw.
Generally you don't want a higher number of implants, unless due to defects geography, you cannot get a good implant distribution to support dentition. So distribution/ position of the implants is very important for achieving best results. It is almost mandatory, if not mandatory that implants are placed using guided surgery. Planning is one of the key factors in these procedures. As for prosthetics, all-on-x is a niche on its own, in terms of materials, and restorative protocols. It is very technically sensitive, so lab is equally important to the surgeon, when it comes to best results.
Guided, in every sense of the word
We plan every single surgery, at an insane level of detail. We are obsessed with precision, and control over every small aspect. We used stackable guides, and planning techniques some of which we helped develop. This way of working, turns a good surgeon, into a supernatural one. As he is always following a plan, and has the time and attention to details.
Unparallelled expertise
Dentcof, has been an innovation hub, traditionally for some of the best and brightest in the business when it comes to implant dentistry. And all of these bright minds have left their mark over the resident team. And knowhow aside, it's a matter of mindset that floats around. One that you can feel. A winner's mindset, which is what you want to feel from the surgeon treating you.
Metalab : The control tower
If the surgeon is the pilot, the lab technician is the control tower. Metalab technicians are the ones who plan and provide the guides and the provisionals for the surgeries, and they are on oversight for the duration of the surgeries.
What makes these guys special, is that from the moment they finish their breakfast, to the rest of their work day, they work with some of the best surgeons in the world, routinely. And these are the guys assisting your surgeon at Dentcof.
