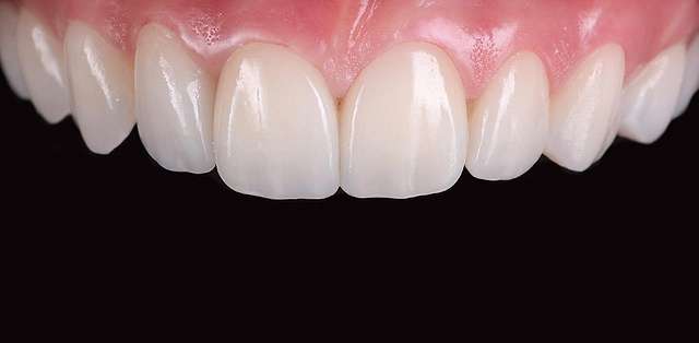
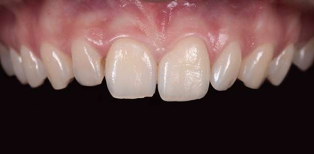
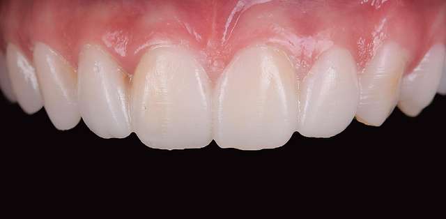
Besides the obvious problems, a slight asymmetry at the central and lateral incisor, we can observe certain features, that esthetically or medically are not a problem, but many times are the sole reason why the patient wants to change her smile. The features we are talking about are related to the incisal embrasures, which create a fragmented and irregular smile line. This type of embrasure design is natural to children. In other words if we want to create a childish look, we can add these elements of design. In this case however, the two asymmetries increase this illusion. When you meet the patient, you can get a feeling if there is a discrepancy between how she perceives herself and what her smile expresses.
Intuitively we took the right bet when designing her smile by changing the embrasures. This is no exact science, and will always run through a subjective filter of the person judging it, but will always be validated or invalidated at the moment of the mock-up. When we did her design, it was a wow moment, where we knew we nailed it. We could see it on her face. From this point on, its quite simple and predictable. We follow design on every procedure, from gum remodelling to tooth preps. Its important that once we start a treatment, everything is clear, this way our focus is on details, especially in finesse cases such as this one.
