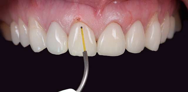
When we are dealing with a retreatment of veneers, it's important to correctly identify the problems. In this case, the gingival recession at the level of the canines led to canine dominance instead of the natural central one. We decided to crown lengthen, using a laser, and we adjusted the bone levels using a flapless technique.
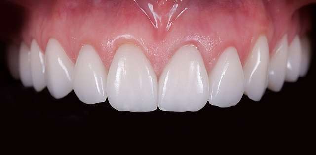
This allowed us to improve the proportions and select more tapered shapes in the new design. It also allowed to even out the gingival margin and re-establish central dominance. Last, but not least, we reworked the veneers, upgrading their geometry to a natural one, and selecting a more lifelike high value ceramic.
