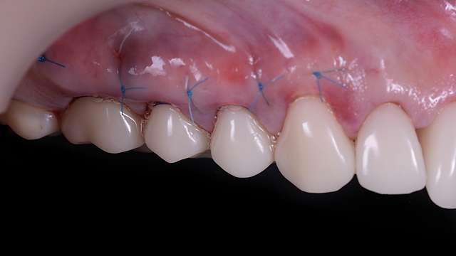
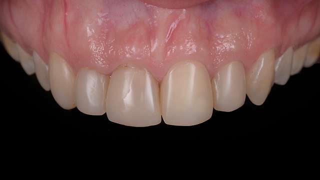
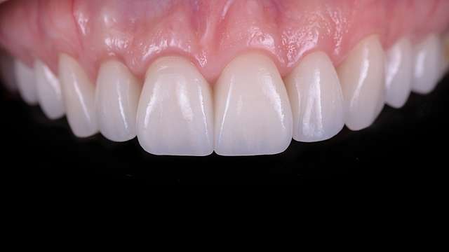
This type of scenario can be the result of various factors. It can be genetic, due to the growth pattern. It can be the effect of a trauma or it can be the effect of poorly planned orthodontic treatments. This case is the third scenario. The first plan that comes to mind is of course an orthodontic re-treatment, which is usually a low compliance option for obvious reasons. Its hard to get a patient to commit to a 2 year re-treatment, right after they spend another 2 in a failed treatment, which probably cost them the faith in the procedure itself. The alternative is to correct this with gingival remodelling and ceramics. The major advantage here is the time required, which allows the patient to reach the desired end result quite fast. Further more, this patient already has composite restorations, which makes our alternative even more attractive, as technically we wouldn't be at all invasive. We would just replace the existing composite restorations with ceramics, and in this process also fix the cant in the smile.
