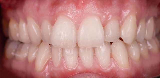
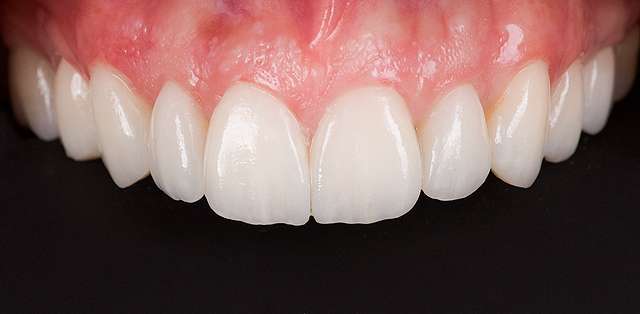
When we design a smile we have two goals. One is to identify the elements that lead us away from harmony, in this case, the central incisors have an exaggerated dominance due to their positioning, and also due to their lesser sized neighbours, which cause a visual imbalance. Also, the midline is slightly canted, a minor , but important detail. Our second goal is to always strive to preserve one's identity when designing a new smile.
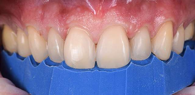
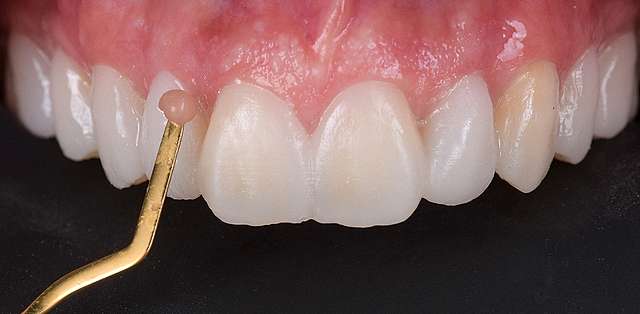
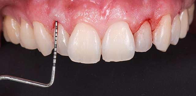
In order to do so, we will be choosing similar geometry, going for natural shapes that closely resemble the existing ones. We will optimise their position, value and color via ceramic veneers. The key decision here however revolves around changing the lateral incisors. Once again we will go for similar shapes, but opt for a more tapered proportion and scaled to a bigger size. This will cause the central incisors to no longer have an exagerated dominance, and will result in the smile being more visually appealing and balanced.
