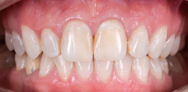
Sometimes harmony is a few details away. In this case, the laterals are slightly smaller, and contrast with the neighboring centrals, creating the sense of excessive dominance. Furthermore, the gingival levels of the two central incisors are higher then the rest of the teeth including the canines. However the existing teeth shapes are beautiful, and we plan to preserve them.
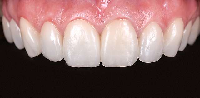
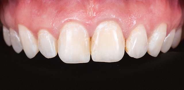
So we decide to rebalance the gingival levels, and use a similar geometry, with a slightly more accentuated surface texture. We scaled the size of the laterals, positioning their gingival levels higher, and at the same time, aiming to close the incisal embrasures. Basically we tried to preserve the identity of the smile and at the same time improve a few features, via ceramic veneers.
