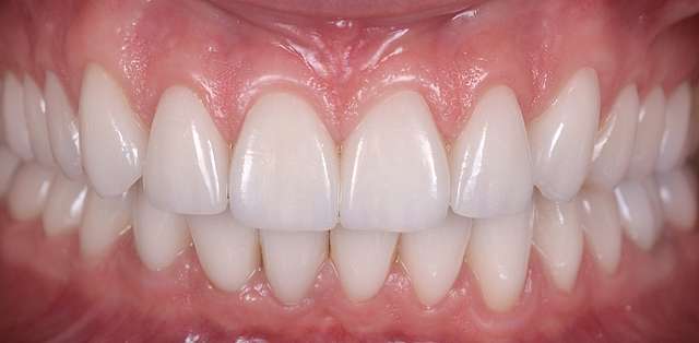
Sometimes spaces are perfect for veneers , example is in the upper arch. Here we can have optimal results.
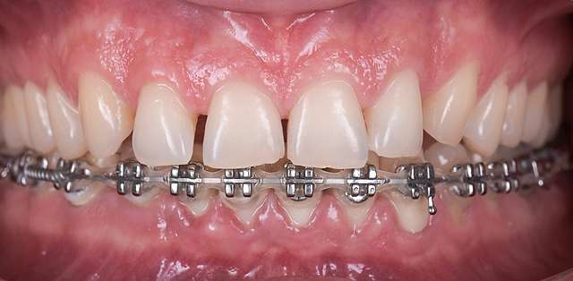
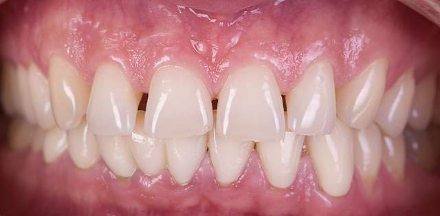
Other times, it takes orthodontic treatment to provide the optimal space, example in the lower arch, where we are redoing some old restorations that tried to bypass this limitation. And every single time, it is most efficient to treat in a correct way from the first time
