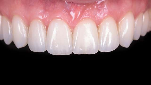
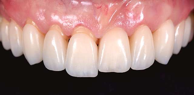
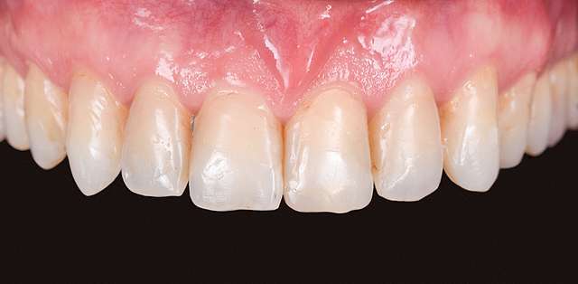
The case you are looking at comes after an orthodontic treatment and has also some aged composite restorations. The case is in a good condition and the most obvious improvement that comes to mind is color / value. However, we can do more. First of all, we can improve shapes, while preserving identity.
We chose similar shapes, keeping proportions, similar features, but more rich in texture, as if we were looking for the younger version this smile. Furthermore, we feel the canines are too long, and we subtly reverse the dominance, from canine to central. Last but not least, we have long contact areas, and we plan and execute with a clear purpose, to improve papillae.
