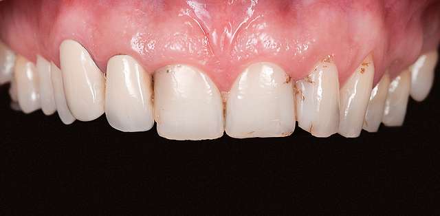
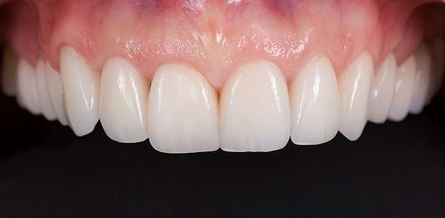
There are two types of symmetry. Relative and absolute. Absolute symmetry does not exist, and most of the time, chasing it leads us into an opposite direction, towards the artificial. A beautiful smile only requires a certain degree of relative symmetry, in which only certain elements have a degree of correlation in terms of shape, size or position. Contrary to popular belief, a beautiful smile, just like a beautiful face, has a high degree of asymmetry. Asymmetry is what makes us unique and brings the natural to the table. It gives us identity.
This smile has only a relative degree of symmetry in the two central incisors. The lateral incisors are different in shape. If you look closely, the gingival levels of the two canines are different, therefore we have a gingival asymmetry. Here, we have an interesting design decision. Instead of eliminating the asymmetry we choose to balance it. By choosing two different canines as shape, and position, but identical as length, a natural and pleasing balance is achieved. Symmetry is not a purpose, but rather a 'spice' we choose to use in a moderate and situational manner in smile design.
