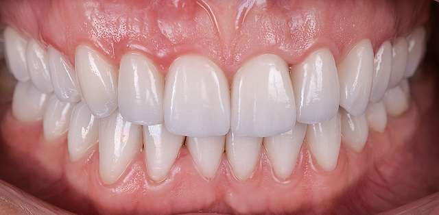
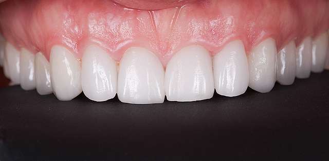
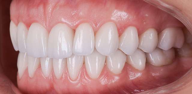
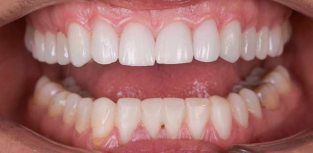
The most common reason of ceramic veneers redo's is design. This case is a good example. These veneers have no problem structurally, functionally or biologically. However, when looking at design we can identify a series of features we could improve. First thing that bats the eye is the smile curve which is rather flat, could even say concave, and slightly canted. A second problem easily visible is the lack of central dominance.
This causes a disharmony in every possible scenario. Last, the gingival levels are uneven, which can be quite unforgiving, when the patient has a wide, gummy smile. We corrected the above and added the cherry on top. We replaced the man-made shapes with natural ones. Natural geometry adds variety and identity in the smile. In the end, its all about details, but you know what they say : Details make the difference.
