Signature Smile

Book an appointment

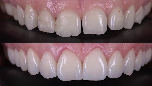
Aesthetics, by its definition, is subjective, and if we were to guide ourselves by traditional methods that rely on a universal set of rules, we would move far away from the uniqueness of each person and end up in a generic area that in theory fits anyone, but at an individual level, it is highly probable that we won’t like.

By adopting a method that treats each smile as distinct and irreplaceable, we not only honor the personal identity of each person but also integrate crucial aspects such as long-term stability, biological and functional congruence on top of a subtle, elegant aesthetic.

 

How does it work?

Planning an individualised smile does not start from the teeth but at the face which guides us to design the ideal outline and harmony of each smile. Once we have the wireframe of the future smile, we rely on advanced algorithms to search through databases of natural shapes, and generate unique natural compositions that complement your personality.

This first stage of Smile Design is then translated into a 3D project where every step of the treatment is planned in the smallest details. This digital simulation allows us to later on execute the procedures exactly according to the plan, so that the final result is the one we established together before starting any intervention.

Book your appointment

Contact me in 48h

Contact me in 24h

I have been informed that, in response to my request, Dentcof will process the above personal data in accordance with the Privacy Policy .

We are replying to the email we receive based on their importance and urgency. We are trying, however, to reply within 48h of the receival of the message.

Schedule your consultation

+4 0373 808 103

contact@dentcof.ro

We are replying to the email we receive based on their importance and urgency. We are trying, however, to reply within 48h of the receival of the message.