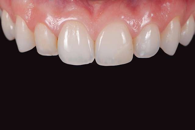
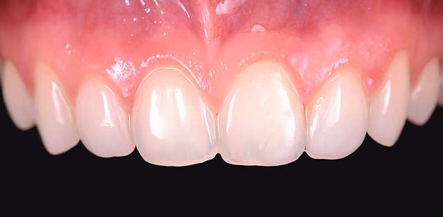
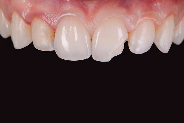
Prepless veneers can be used in aditive cases (small teeth, teeth with spaces, after orthodontic treatments). Prepless veneers can only be used on natural, intact teeth. This type of veneers require no tooth grinding. Technically speaking, they are no different from normal veneers.
They have the same esthetic properties and longevity. In many cases, veneers can be used in conjunction with prepless veneers, depending on the design of the future smile.
Non Invasive. No anesthesia required.
As prepless veneers require no tooth grinding, there is no need for anesthesia, the procedure is completely painless, and has zero post-op sensitivity.
Immediate impact. No need for provisional restorations
This type of veneers can only be used on healthy, intact teeth, and since they require no tooth grinding, there is no need for provisionals. Treatment has 3 steps: design, impression and bonding of the restoration. And the esthetic impact is immediate.
