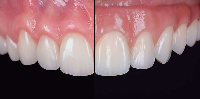
Periodontal disease is a chronic degenerative malady that affects the tissues around teeth ( gums, bone, ligament ). Periodontal disease treatment aims to eliminate the causes of the disease and stop its evolution.
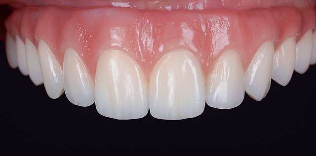
Once the disease is stabilised, the focus will be on restoring the damage, through various reconstructive procedures.
Causes
Periodontal disease can have many causing factors. Even though bacteria is at the core of the disease, a series of different factors can worsen it. These factors can be genetic, habitual ( smoking, bad hygiene, bad eating habits ) or dental ( infected roots, bad dental work etc ). Depending on the stage of the disease, one or more of the following symptoms may occur: gingivitis ( inflammation and bleeding of the gums ), bad taste and bad breath, mobile teeth, gingival retractions.
Systemic approach
We will always diagnose the cause of the problem and eliminate all factors that lead to the disease. This may include recommending lifestyle changes, balancing bite problems, re-treating teeth or extracting hopeless teeth. After that we enter a reconstructive phase to restore what was lost to the disease with a combination of soft tissue grafts, dental implants and in severe cases artificial ceramic gingiva. Read more
Longevity and predictability
Predictability comes from planning. Digital technology such as computer-tomography and inter-disciplinary digital treatment planning allows us to correctly determine causes and select the most efficient treatment options for long lasting results.
Minimal invasive philosophy
Each treatment plan is tailor-made for the specific details and challenges for each case, in a minimally-invasive philosophy, that aims to respect and preserve existing biology and to achieve the desired result with the minimum amount of procedures.
| Veneers on natural teeth | All on 6 - denture on implants |
|---|
